Cas de la semaine (semaine 11, 2023)
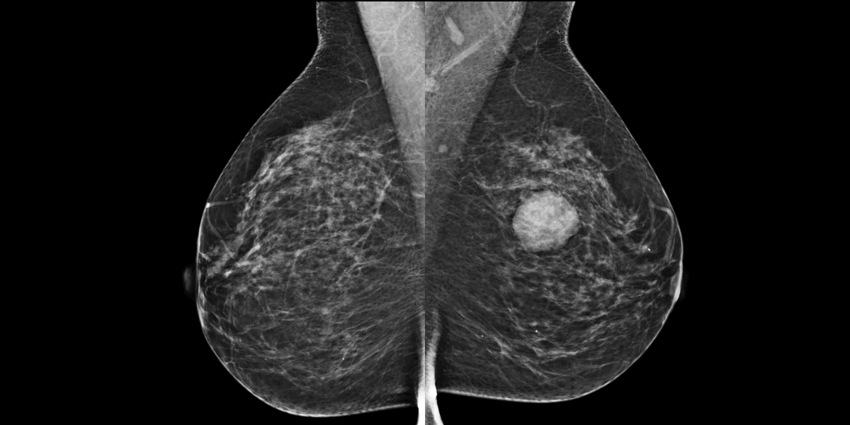
Femme de 60 ans, examinée pour tuméfaction supéro-externe du sein gauche.
MammoScreen™ pointe une masse suspecte (Score de 5) du sein gauche.
L’échographie met en évidence une masse hypoéchogène présentant un vascularisation centrale.
La microbiopsie est en faveur d’une tumeur phyllode de bas grade; la chirurgie d’exérèse confirme tumeur phyllode maligne.











