Cas de la semaine (semaine 38, 2022)
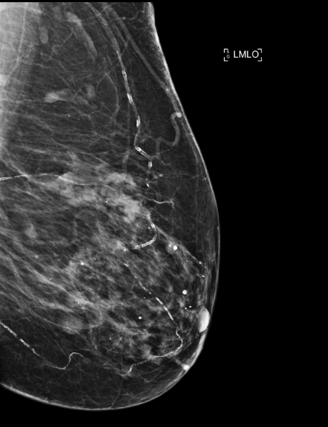
Patiente de 84 ans, mammographie de dépistage individuelle.
Mammoscreen™ indique un surcroît d’opacité à contours un peu irréguliers du quadrant supéro externe du sein droit associée à des microcalcifications d’allure polymorphe.
L’échographie ne retrouve pas de cible biopsique, une macrobiopsie est réalisée sur les micro calcifications et un carcinome intra canalaire est détecté.
*Cas de la pratique de Dr. Le Van An.









