Cas de la semaine (semaine 42, 2021)
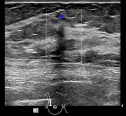
Femme de 74 ans avec antécédents familiaux de cancer du sein chez deux tantes maternelles (80 ans). Mammographie de dépistage : nouvelle petite masse spiculée de 0,6 cm dans le quadrant supérieur droit, qui persiste sur les vues de compression. MammoScreen : masse notée sur les vues CC et MLO avec un score de 6. Échographie : masse vasculaire de taille 0,6 x 0,5 x 0,7 cm. La lésion est molle sous élastographie, ce qui abaisse le niveau de supicion. Biopsie guidée par ultrasons : Carcinome micro invasif avec DCIS; ER/PR + Her2 -. Ki-67 modérée 11%.
*Cas de la pratique de Weinstein Imaging Associates, Danielle Sharek, M.D.










