Cas de la semaine (semaine 44, 2022)
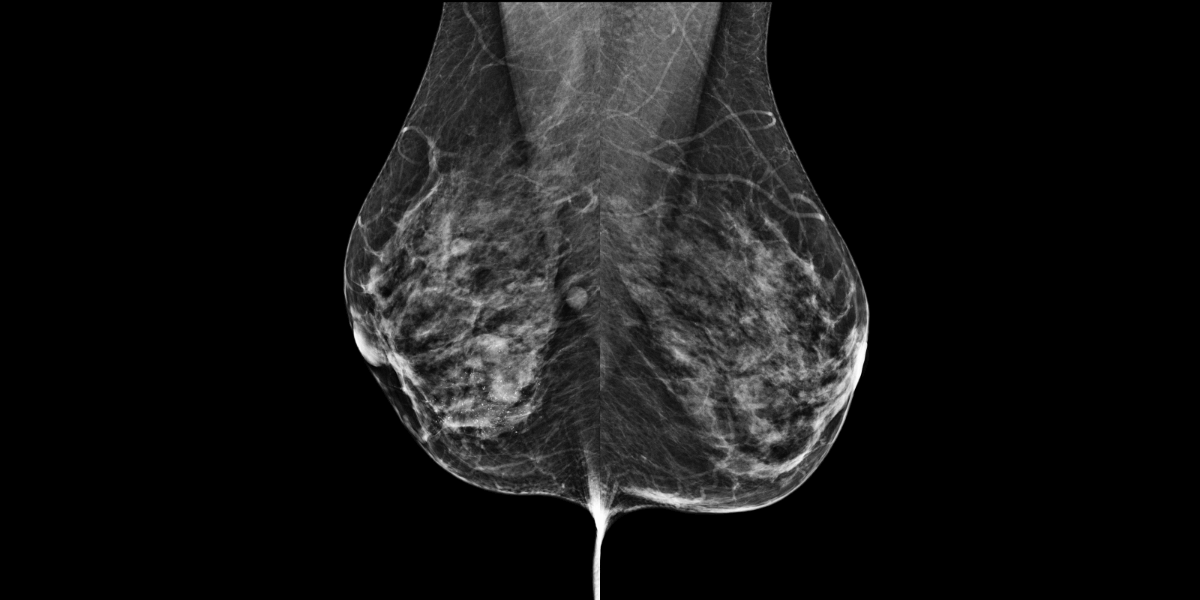
Femme de 46 ans vient pour une masse du quadrant infero interne du sein droit.
MammoScreen™ pointe des surcroit de densité du sein droit.
L’echographie et la microbiopsie confirme une carcinome infiltrant SBR II, RH+
Mais MammoScreen™ pointe aussi un foyer de microcalcification supéro externe du sein controlatéral.
Les microcalcifications sont poussiéreuses, macrobiopsie en attente.
*Cas de la pratique de Dr. Le Van An.












