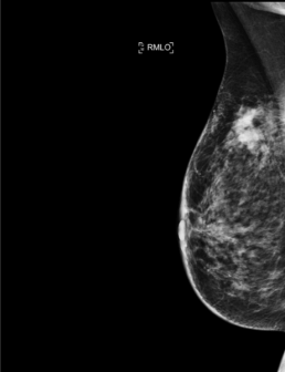
Patiente de 40 ans aux antécédents de carcinome mammaire droit il y a 10 ans – une mammographie de surveillance est effectuée.
Mammoscreen™ détecte un surcroît d’opacité du quadrant supéro-externe du sein droit.
L’échographie montre une lésion hypoéchogène.
La biopsie confirme un adénocarcinome SBR III; HER2- RH+.










